Chuyên mục
Các bài viết mới cập nhật
Thống kê trong quý I/2026, Khoa Truyền nhiễm TTYT Gia Lộc đã ghi nhận nhiều ca bệnh nhi từ 38 đến 69 tháng tuổi với biểu hiện loét miệng, phát ban và xét nghiệm dương tính với EV71. Cha mẹ không nên chủ quan!
Viêm amidan cấp tính là tình trạng viêm sung huyết và xuất tiết tại amidan khẩu cái, thường xảy ra ở trẻ em trong độ tuổi học đường (từ 5 đến 15 tuổi). Bệnh do vi khuẩn hoặc virus gây ra và thường xuất hiện trong giai đoạn đầu của nhiều bệnh truyền nhiễm.
Đột quỵ có thể xảy ra với bất kỳ ai, nhưng nguy cơ sẽ cao hơn ở những người mắc các bệnh lý nền.
Theo thống kê mới nhất tại Khoa Chẩn đoán hình ảnh Trung tâm Y tế Gia Lộc, trung bình mỗi ngày có tới hơn 60% bệnh nhân đến siêu âm được phát hiện tình trạng gan nhiễm mỡ (đơn thuần hoặc kèm bệnh lý nền).
Bệnh thận mạn tính là tình trạng chức năng của thận bị suy giảm hoặc cấu trúc của thận bị tổn thương kéo dài. Đây là một bệnh lý nguy hiểm nhưng thường diễn tiến âm thầm, đòi hỏi sự quan tâm đúng mức trong việc phòng ngừa và điều trị.
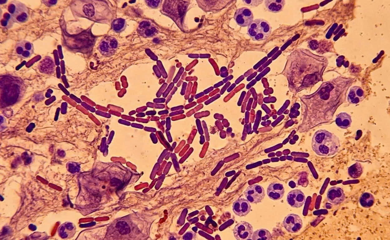
Thời tiết nồm ẩm, mưa phùn đan xen những đợt nắng nóng sau Tết là điều kiện lý tưởng để vi khuẩn, virus gây bệnh đường ruột bùng phát. Làm thế nào để phân biệt nhiễm trùng do virus và vi khuẩn? Khi nào cần đưa người bệnh đi cấp cứu? Hãy cùng Trung tâm Y tế Gia Lộc tìm hiểu ngay sau đây.
Trong thời điểm giao mùa, thời tiết chuyển lạnh, số ca mắc cúm mùa đang có xu hướng gia tăng. Việc hiểu đúng về bệnh và có biện pháp phòng ngừa kịp thời là chìa khóa để bảo vệ sức khỏe cho bản thân và gia đình.
Nếu bạn đang gặp phải tình trạng khuôn mặt biến dạng đột ngột, mắt nhắm không kín hay khó khăn khi kiểm soát cơ miệng, hãy bình tĩnh! Đây là những dấu hiệu điển hình của liệt dây VII ngoại biên - một bệnh lý có tiên lượng hồi phục rất tốt khi người bệnh được can thiệp y tế kịp thời và khoa học.
Nhiều người vẫn lầm tưởng bệnh ghẻ là căn bệnh của thời bao cấp hay chỉ xuất hiện ở những nơi cực kỳ thiếu vệ sinh. Thực tế, trong môi trường hiện đại, bệnh ghẻ vẫn đang âm thầm lây lan tại các trường học, ký túc xá, hộ gia đình và bất kỳ nơi đâu.
